

Braces – West Palm Beach, FL
Why Choose McCranels
Orthodontics for Braces?
Our braces treatment is designed to correct
misaligned teeth and improve your bite. With the latest advancements in orthodontic technology, we offer traditional metal braces and ceramic braces. Our orthodontists will assess your dental condition and recommend the most suitable braces for you.
are braces better than invisalign?
Traditional braces use brackets and wires to align the teeth, while Invisalign uses clear, removable aligners for a more flexible teeth-straightening experience. Both forms of treatment have pros and cons, but our team is here to customize the best treatment plan for you. We are proud to guide you toward the brilliant smile you deserve.

Traditional Metal Braces

Ceramic Braces
Are you ready to achieve your best smile?
A free consult with Dr. Scott McCranels, Dr. Thebis Alvarez or Dr. Stephanie Quinn allows our team the opportunity to address your concerns. Based on the initial exam, we formulate a personalized treatment plan that fits your needs. The length of orthodontic treatment varies according to the unique position of the teeth and the treatment time can range from approximately 6 months to 3 years. When you schedule your free consultation, you'll be able to see a simulation of your own Before & After, right away!
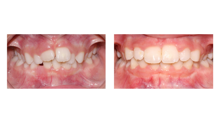
Before Treatment
After Treatment
In-house Financing

At McCranels Orthodontics, we make it easy to invest in your smile with our in-house financing option. Instead of paying for your treatment all at once, your total cost is divided into manageable monthly payments spread evenly over the course of your treatment.
This way, you can enjoy expert orthodontic care without the stress of large upfront costs - just simple, predictable payments from start to finish.

Contact Us
Address
3201 S Dixie Hwy,
West Palm Beach, Fl 33405
Contact
Opening Hours
Monday
10:00 am – 7:00 pm
Tues- Thurs
9:00 am – 5:00 pm






